Casos Clínicos
A continuación les mostramos una serie de casos clínicos con Implantes Radhex.
Caso clínico con implantes Radhex monofásicos, por el Dr. Juan José Soleri
Planificación quirúrgica estratégica para una paciente con sector II atrófico y seno maxilar III-IV.
No admitía elevación sinusal, ni injertos. Rehabilitación con Radhex Implants.
Exodoncia atraumática de 2.4 y colocación de implante basal SLD-bm, en zona 2.5 colocación de implante SLD-c inclinado medialmente anclado en la encrucijada ósea.
Radiografías
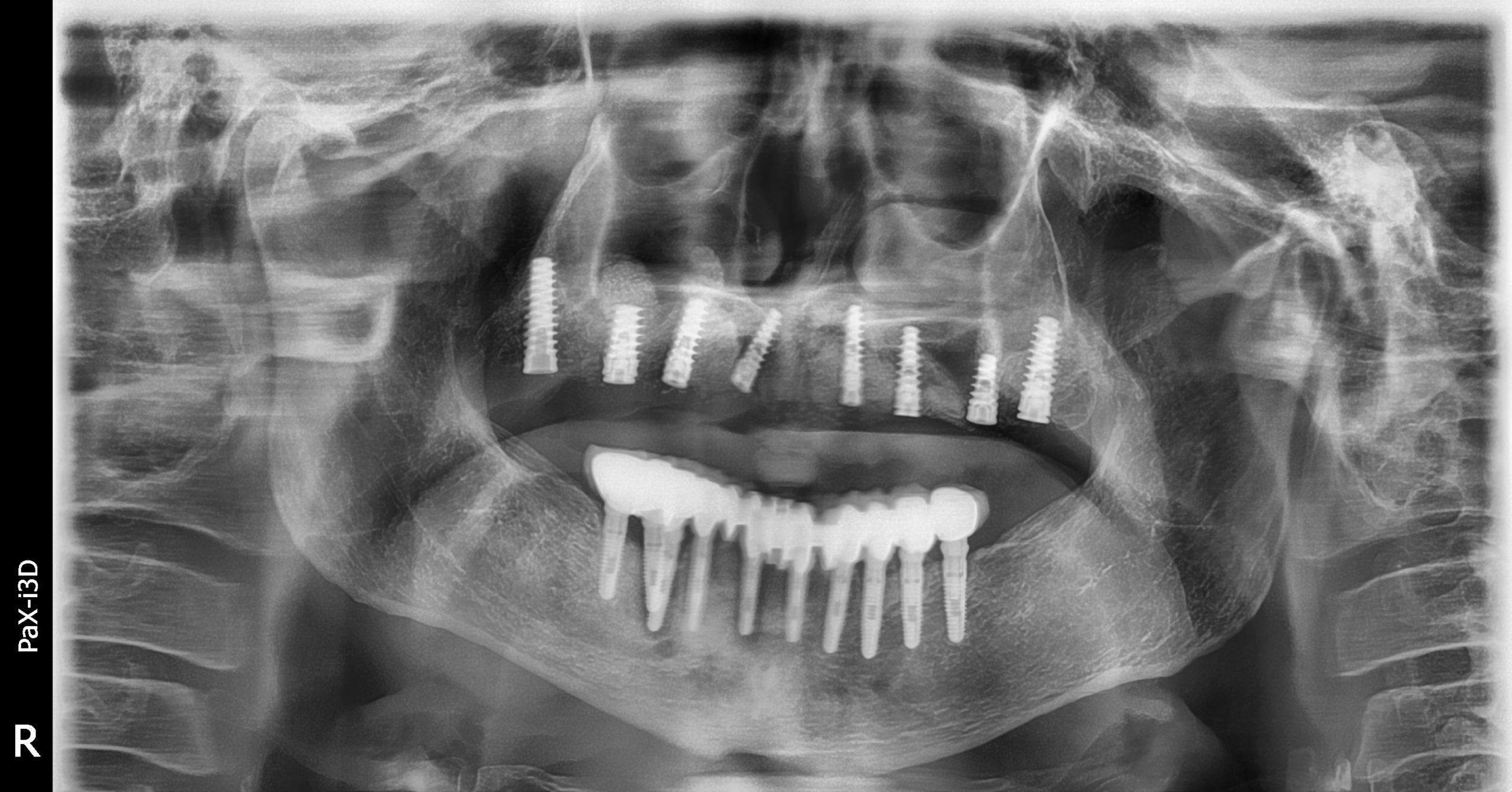
Implantes PCI
Secuencia de imágenes RX, antes y después de la inserción de implantes PCI en la parte superior e inferior de la boca.
Paciente varón de 75 años.
- Radiografía previa a la colocación de implantes Radhex.
- Colocación de implantes Radhex PCI en la parte superior
- Colocación de implantes Radhex PCI en la parte inferior.
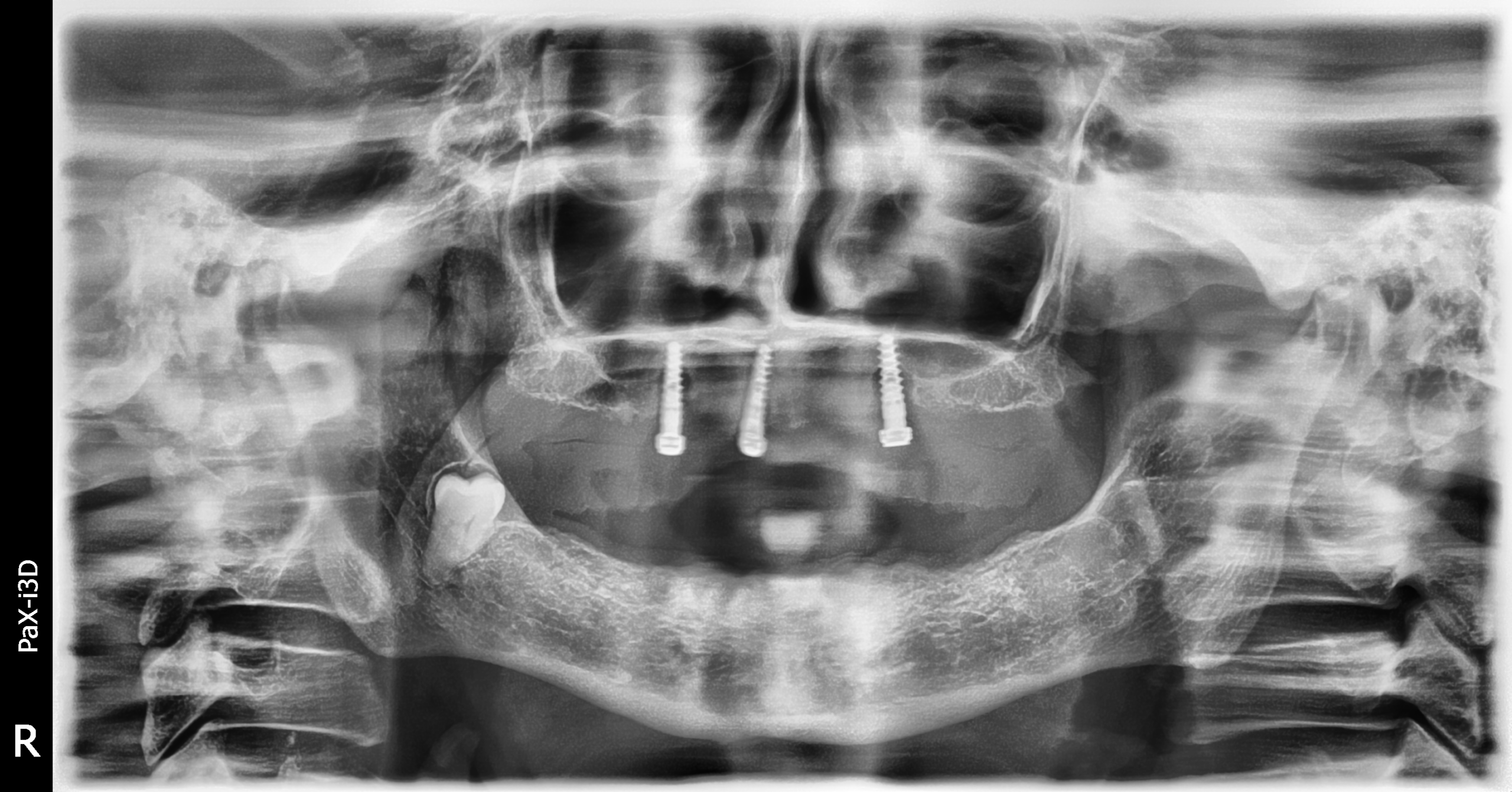
Implantes PHIA
Secuencia de imágenes RX, antes y después de la inserción de implantes PHIA en la parte superior de la boca.
Paciente varón de 82 años.
- Radiografía previa a la operación.
- Extracción implantes parte superior.
- Colocación implantes Radhex PHIA parte superior.
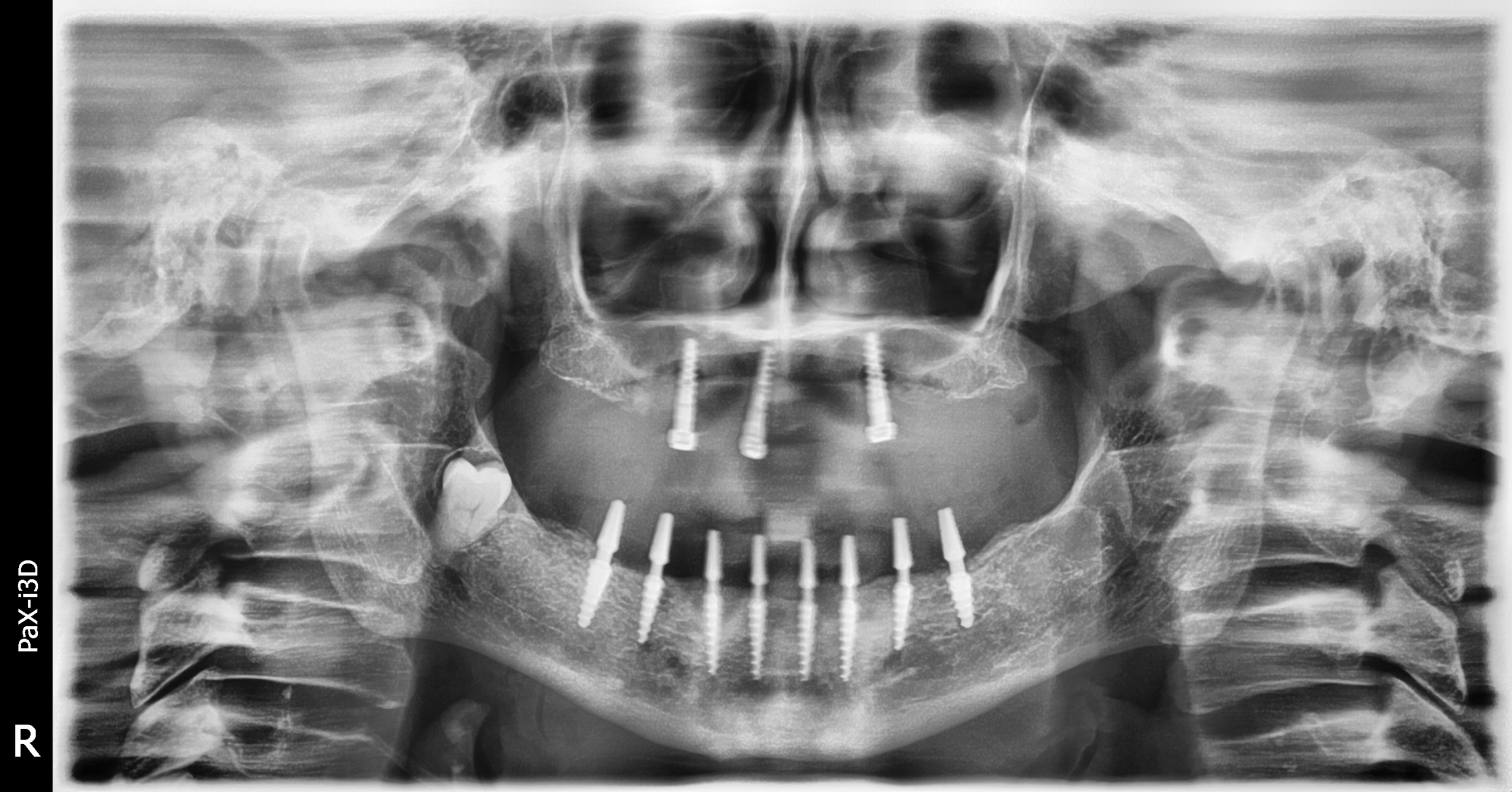
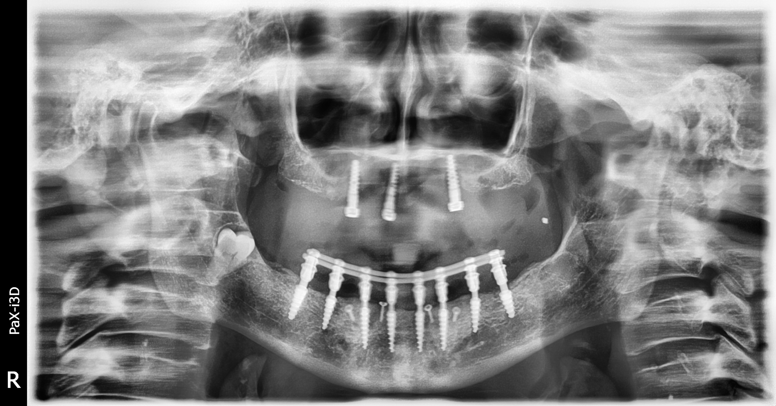
Implantes SLD-c
Secuencia de imágenes RX, antes y después de la inserción de implantes SLD-c en la parte inferior de la boca.
Paciente mujer de 65 años.
- Radiografía previa a la operación.
- Colocación implantes Radhex SLD-c parte inferior.
- Colocación implantes Radhex SLD-c parte inferior con soldadura.
Vídeos de Casos Clínicos Radhex Implants
Implantes SLD-c
Cirugía. Colocación 8 implantes SLD en mandíbula inferior. Radhex Implant.
Mujer, 72 años.
Implantes SLD-c
Cirugía. Colocación 8 implantes SLD en mandíbula inferior. Radhex Implant.
Mujer, 65 años.
Implantes SLD-c
Cirugía. Colocación 2 implantes SLD en mandíbula inferior. Radhex Implant.
Mujer, 47 años.
Implantes SLD-c
Cirugía. Colocación 4 implantes SLD en mandíbula inferior. Radhex Implant.
Varón, 81 años.
Implantes SLD-c
Cirugía. Colocación 8 implantes SLD en mandíbula superior. Radhex Implant.
Varón, 58 años.
Implantes SLD-c
Implantes angulados SLD. Colocación 8 implantes SLD en mandíbula inferior. Radhex Implants.
Implantes SLD-c
Implantes angulados SLD. Colocación 4 implantes SLD en maxilar superior. Radhex Implants.
IMPLANTES INMEDIATOS · REHABILITACIÓN MAXILAR
Exodoncia, Implantes y tratamiento provisional fijo de carga inmediata.
REHABILITACIÓN CON IMPLANTES DENTALES
Exodoncia, Implantes y tratamiento provisional fijo de carga inmediata.
Implantes dentales de carga inmediata
Exodoncia, Implantes y electrosoldadura intraoral provisional, fijo superior e inferior de carga inmediata.
CAMBIO RADICAL CON IMPLANTES DENTALES
Exodoncias, Implantes, Electrosoldadura, confección de prótesis fija provisional
Conferencia DR. ISMAEL SORIANO.
Conferencia DR. ISMAEL SORIANO.
CIRUGÍA ORAL IMPLANTES DENTALES
Exodoncias, Explantación, Implantes, Provisional fijo superior e inferior de carga inmediata, electrosoldadura intraoral.

















